NEWS CENTER
HOSPITAL SITUATION
THE CONSTRUCTION OF BETWEEN THE PARTY AND THE MASSES
DEPARTMENTS AND EXPERTS
MANAGEMENT BY
Medical services
Special column
Health science and education
KEY DISCIPLINE
SCIENTIFIC RESEARCH AND TEACHING
TALENT RECRUITMENT
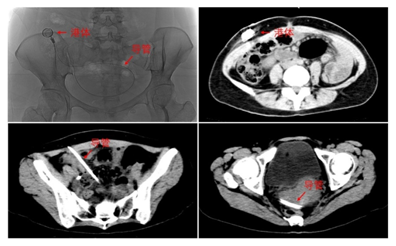
近日,我院介入科余文昌主诊团队为一名患有胃癌并腹膜转移的年轻女性成功实施腹腔化疗泵植入术。据悉,这是我省首例采用超声联合DSA引导、通过介入相关技术完成的腹腔化疗泵植入术,解决了患者胃癌并腹膜转移需长期、反复腹腔灌注化疗的相关难题,填补了省内介入领域该技术空白。
该患者长期行腹腔灌注化疗,不能承受反复腹腔穿刺置管导致的疼痛及生活不便。余文昌团队经过反复讨论后,为该患者制定通过介入相关技术植入腹腔化疗泵的手术方式。在我院超声科沈友洪副主任的协助下,通过超声引导精准穿刺腹腔及DSA引导顺利地为患者植入腹腔化疗泵,术后患者恢复良好。
腹腔内灌注化疗药物作为抗肿瘤治疗手段之一 ,能使腹腔内肿瘤细胞直接暴露于高浓度的化疗药物中,增强了化疗药物对腹腔内肿瘤细胞的杀伤作用,同时减缓化疗药物的吸收入血,降低化疗药物的全身毒性反应,但腹腔灌注化疗因需要反复腹腔穿刺置管带来风险。腹腔化疗泵类似于静脉输液港,植入后用于腹腔灌注化疗时,较直接腹腔穿刺灌注、腹腔内静脉导管留置灌注,具有并发症少、维护需求低、隐蔽性好、使用方便、可长期留置等优点。但因其输液导管直径15F,粗于常规的静脉输液港导管6.6-7F,国内鲜有经皮穿刺植入的报道。



关闭