NEWS CENTER
HOSPITAL SITUATION
THE CONSTRUCTION OF BETWEEN THE PARTY AND THE MASSES
DEPARTMENTS AND EXPERTS
MANAGEMENT BY
Medical services
Special column
Health science and education
KEY DISCIPLINE
SCIENTIFIC RESEARCH AND TEACHING
TALENT RECRUITMENT
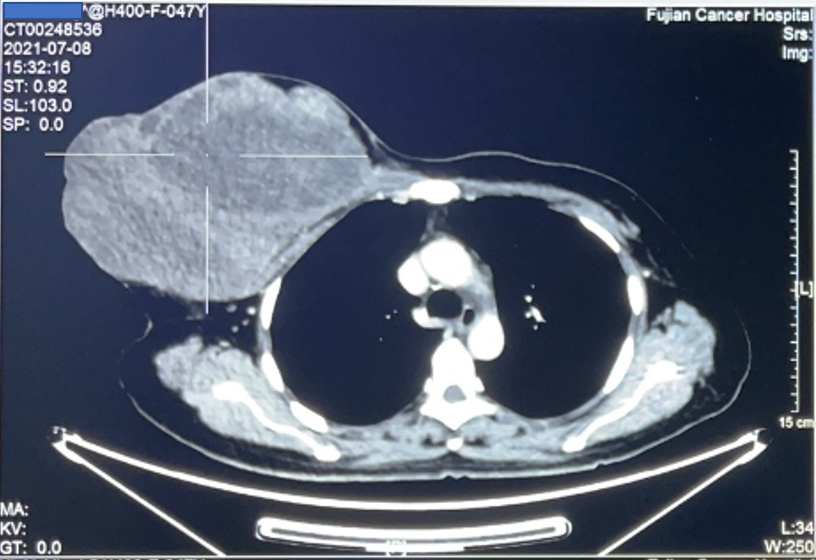
近日,我院乳腺肿瘤外科叶文飞主诊团队成功为一名患者切除乳腺巨大恶性叶状肿瘤,并同期利用带蒂背阔肌KISS皮瓣修复胸壁巨大创面。术后恢复顺利。
患者为47岁女性,发现右乳腺肿块半年,半年前肿块约网球大小,后逐渐生长增大到约25*22cm大小,伴有肿块的破溃、渗血、恶臭。患者深受困扰,痛苦不堪,辗转省内多家医院就诊,均被告知手术难度大、风险高。最后求诊我院,接诊患者后,乳腺肿瘤外科叶文飞主任组织团队成员游原瑜、黄志坚、黄秋艳、陈建医师、麻醉医师及护理团队,进行病情讨论和手术方案的制定。
胸壁恶性肿瘤常累及皮肤,胸大肌,深达肋骨表面,为减少复发需行肿瘤扩大切除,常造成胸壁巨大缺损。此类患者术后多需放化疗,为争取时间,采取快速可靠方法修复创面缺损具有重要意义。叶文飞主任考虑该患者创面巨大,不能直接缝合,需要进行肌皮瓣转移修复胸壁缺损。传统的背阔肌皮瓣因背部皮肤弹性较差,宽度一般不超过8 cm,否则供区不能直接拉拢缝合,甚至需植皮修复。因此巧妙设计,采用一蒂双瓣方式,设计背阔肌Kiss 皮瓣,两瓣对缝修复巨大创面,缩小了供区缺损,避免了植皮导致的一系列并发症。

这项手术难度大、技术要求高、风险较高。乳腺肿瘤外科团队挑战新技术,攻克难关。在手术室医护团队密切配合下,手术成功彻底切除肿瘤,并且解决了胸壁缺损的大问题,目前术后恢复良好。

关闭