NEWS CENTER
HOSPITAL SITUATION
THE CONSTRUCTION OF BETWEEN THE PARTY AND THE MASSES
DEPARTMENTS AND EXPERTS
MANAGEMENT BY
Medical services
Special column
Health science and education
KEY DISCIPLINE
SCIENTIFIC RESEARCH AND TEACHING
TALENT RECRUITMENT
近日,我院胸部肿瘤外科朱坤寿主任医师团队使用Lungpro增强现实支气管导航对一例右肺上叶尖段肺磨玻璃小结节行经支气管镜下美兰染色精准定位,并行胸腔镜下右肺上叶尖段楔形切除,手术过程顺利,染色定位耗时约6min,整个手术耗时约20min。术中冰冻病理原位腺癌,疑有微小浸润。
朱坤寿主任表示,精准定位是是肺小结节患者的手术的难点,此方法提供新的安全可靠的定位方式,并可避免传统定位时患者手术前往返CT室的繁琐流程以及转运过程中出现气胸、出血等并发症的风险。
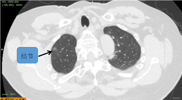
陈女士今年59岁,入住我院胸部外科二区,胸部CT提示右肺上叶尖段可见一磨玻璃结节,大小约9.5mm,考虑恶性可能性大,需手术切除。
该病灶于右肺上叶尖段可见一磨玻璃结节,结节较小,且位置极高,常规器械滑行或手指触摸定位结节难度较大,为达到精准定位、精准治疗,且有效缩短患者手术时间目的。朱坤寿主任医师及林绍峰副主任医师术前充分讨论,利用Lungpro增强现实支气管导航术前三维重建支气管树,分析病灶与气道位置关系,拟定染色标记胸膜区域。

患者CT图
三维支气管树重建
手术中,麻醉科诱导麻醉后,手术团队采用外径4.0mm的支气管镜,根据支气管导航提供的路径抵达既定位置(RB1亚亚支,约第6级气道),往前推送打药管至病灶附近胸膜处,于此处打入0.2ml美兰染色液,随后缓慢推入空气让染色液逐渐渗透至病灶附近胸膜区域。

导航路径
术中
染色标记位置与术前规划一致

关闭