无障碍浏览
新闻中心

当前位置:首页 > 新闻中心

乳腺钼靶检查都有哪些?到底哪种更适合?

发布时间 :2024-08-16 18:50 | 来源:本网

  导语:乳腺癌已经成为人类发病率最高的肿瘤之一,被称为“红颜杀手”。好在该领域专家不懈的努力和患者的全力配合下乳腺癌患者预后有明显提升。在众多的筛查和检查手段中,钼靶扮演着一个非常重要的角色。

  
乳腺钼靶是什么
  乳腺钼靶其实就是一种专门针对乳腺的X线检查技术,但跟常规的X线比起来,它产生的X线是一种波长相对较长的软射线。钼靶能显示乳腺各层组织,可以发现乳腺各种良、恶性肿瘤以及乳腺其他疾病,可观察到小于0.1mm的微小钙化点及钙化簇,是早期发现和诊断乳腺癌最有效和可靠的检查方法之一,尤其对于临床不可能触及,或超声未能看到的微小钙化灶的早期乳腺癌具有特异性的诊断意义。
  正常的乳腺的组成除了真正的腺体,还有脂肪组织、血管等组织。钼靶的敏感性和准确性与乳腺腺体的致密程度息息相关。未经哺乳的年轻女性,乳腺腺体往往比较致密,会影响“软射线”的穿透力,降低钼靶的敏感性。生育哺乳后的女性,由于激素水平的变化和乳腺哺乳功能的实现后,腺体的密度会下降,同时会出现脂肪组织的穿插,乳腺整体密度会下降,使钼靶敏感性和准确性会相应升高。
  一般来说,每侧乳腺都需要做两个体位的摄片。每一侧乳腺一般是做轴位和内外斜位两个方位。拍的时候会对乳腺做一定的挤压,将腺体压成厚度薄一点的组织,利用X线对乳腺不同组织的衰减程度差异形成一张重叠的乳腺图像。这个压迫的过程可能会有点痛,其疼痛程度因人而异,但一般都能接受。
  如果乳腺在哺乳期或者月经前,乳腺腺体处于增生期,会有生理性的增生疼痛。因此,最佳的钼靶拍片时机是月经期后的一周左右,这个时期不仅可以使乳腺显示更清楚还能减低疼痛。
  
什么情况下需要钼靶检查
  有乳腺癌家族史的,应定期钼靶检查。有乳腺疾病(尤其是乳腺癌)病史,应定期随访。有乳腺肿块、局部增厚、异常乳头溢液、皮肤异常、局部疼痛或肿胀症状。乳腺超声或其他相关检查发现乳腺异常,需要钼靶检查提供更多的诊断信息。40岁以上女性(尤其未生育及高龄生育)每1~2年例行体检,月经初潮年龄在12岁前、绝经年龄超过55岁及其他乳腺癌高危人群筛查。
  
哪些患者应慎重选择乳腺钼靶
  乳腺炎急性期、乳腺术后或外伤后伤口未愈;妊娠期(尤其是孕早期3个月);青春期、经前期,乳腺增生较厉害且无法忍受疼痛;巨大肿瘤难以压迫、恶性肿瘤皮肤破溃面积大的患者应根据临床权衡决定。
  
乳腺钼靶的检查方式都有哪些
  随着科技的进步和新技术的发展,乳腺钼靶也在不断进步,现在检查方式可以分为:常规乳腺X线摄影(Mammography)、数字化乳腺三维断层摄影技术(Digital Breast Tomosynthesis,DBT)、对比增强乳腺X线摄影(Contrast-enhanced Spectral Mammography,CESM)这三种方式。
  
乳腺钼靶的新技术
  
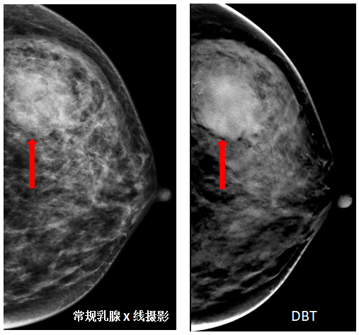
DBT
  DBT(Digital Breast Tomosynthesis),意为“数字化乳腺断层摄影”,是一种三维成像技术。其原理是X线管球在有限的角度范围内旋转,进行一系列低剂量曝光,在较短时间内得到一系列断层图像。扫描完成后,计算机利用算法把图像重建为平行于探测器且间距为1mm左右的影像相对于传统的二维乳腺摄影技术,重建后的三维断层影像明显减少了组织重叠。致密性乳腺、微钙化、结构扭曲的患者就很适合采用这种检查方法,避免因腺体太过致密而掩盖了小病灶的显示。
  
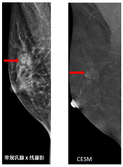
CESM
  CESM(Contrast Enhancement Spectral Mammography)对比增强乳腺检查技术。其原理是利用碘造影剂,同时采集低能和高能数据并重建同一位置的两幅图像一套为(似传统MG)低能图像;另一套为能量减影图像:有效消除背景及腺体组织,仅保留碘剂代谢异常的乳腺病变。
  CESM的优点是:该技术结合了数字化乳腺摄影与对比剂特性来提高病灶的检出,同时实现对实质肿块及微钙化的显示;对乳腺病变阳性检出率提高20%,临床价值不亚于MR且特异性提高 5%,还可以减少假阳性率和不必要的活检与手术;可显著提高乳腺 X 线摄影的敏感性,特异性,其敏感性与磁共振一致,特异性更好,费用更低。什么情况下做CESM检查:如致密性乳腺;高危患者筛查与临床诊断;明确病灶,判断范围,指导治疗;治疗后评估,判断残留或复发;排除假阳性。
  福建省肿瘤医院放诊科技术组组长 苏丽清、技师 高嘉颖/文
  福建省肿瘤医院放诊科主任 郑德春/审
附件下载:
相关文档