NEWS CENTER
HOSPITAL SITUATION
THE CONSTRUCTION OF BETWEEN THE PARTY AND THE MASSES
DEPARTMENTS AND EXPERTS
MANAGEMENT BY
Medical services
Special column
Health science and education
KEY DISCIPLINE
SCIENTIFIC RESEARCH AND TEACHING
TALENT RECRUITMENT
近日,我院胃肠肿瘤外科杨春康主任团队连续完成多例“腹腔镜辅助联合胰十二指肠切除的扩大右半结肠癌根治术”,手术成功,患者顺利康复出院。
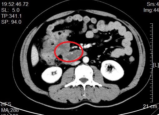
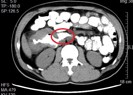
来自省内正值中年的邹先生和张先生都因“阵发性腹痛不适感”就医而发现结肠肿瘤,慕名转诊找到我院治疗。杨春康教授接诊,经过详细全面的检查后,发现二者的病情相似,都为升结肠近肝曲部的肿瘤且肿瘤已侵犯临近的重要脏器——十二指肠,全身其他部位没有发现肿瘤转移病灶,属于局部晚期病例。面对仍有治愈希望的病人以及家属的殷切希望,尽管病情高度复杂,手术风险和压力巨大,杨春康教授和他率领的医疗护理团队没有在困难面前退缩。在与病人及家属充分沟通后,决定为他们手术,并制定周密的手术方案。
虽然已有过多例成功案例在先,但面对此高难度手术,杨春康教授始终严阵以待,在总结前期手术经验基础上,与麻醉科、手术室护理团队等做好充分的术前准备,在团队成员的密切配合下,历时5小时余,顺利完整切除肿瘤,成功完成手术,术中出血近约300ml。
杨春康主任介绍,患者的这种病情,按照目前国内多数医院的做法,大都就会直接放弃对病人的手术治疗,转而以全身化疗为主。但对于消化道的肿瘤,手术仍是目前唯一可能彻底治愈疾病的手段;此类患者要达到手术根治目的,必须做联合胰十二指肠切除的扩大右半结肠癌根治手术。一个右半结肠癌根治就已经是一个大型手术了,而胰十二指肠切除则更是一个腹部外科领域极限的特大型手术。这样的两个大型手术一起做,光光其手术的复杂性、难度系数、风险系数均是巨大的,而且术后发生包括吻合口漏在内的各种严重并发症风险极高。这既是对病人自身身体耐受能力的极限挑战,也是对主刀医生及其团队的技术、能力和医院多学科综合实力的极大挑战。如果放弃手术,病人基本难以获得较长的生存期。



手术后,经过主诊医生团队及黄友秀护士长带领的护理团队人员对病情的密切观察以及细致护理,在做好抗感染、营养支持、预防吻合口漏、早期体力活动等艰巨繁杂的工作后,两位患者在术后第11日皆顺利康复出院。由感于战胜病魔的欣喜,并表达对六区医护人员的感激之情,两位患者于出院后特意表达了自己的衷心的感谢。


近年来,胃肠肿瘤外科六病区一直将胃癌、结直肠癌等胃肠道恶性肿瘤肠的治疗做为主攻方向,积累了非常丰富的临床经验和雄厚的技术力量。对胃肠道恶性肿瘤的诊治已进入目前国内先进、省内领先的个体化治疗阶段。对于早、中期的病人,在保证病人根治性效果不降低的情况下,尽可能采用各种腹腔镜微创技术治愈疾病,使病人既能达到根治,又能减少创伤。在局部肿瘤侵犯周围临近重要脏器时,只要有一线根治的希望,也不放弃,迎难而上,通过采取联合脏器切除的超扩大根治手术同样使病人的恶性肿瘤达到根治效果。年均开展二三十例胃肠道恶性肿瘤的联合脏器切除,手术总体效果良好,患者恢复顺利,满意度高。

关闭