无障碍浏览
特色医疗技术

当前位置:首页 > 医疗服务 > 特色医疗技术

【肿瘤与血管介入微创治疗中心·医疗案例】钇90-SIRT为常规介入治疗失败的肝癌患者带来希望

发布时间 :2024-06-12 19:46 | 来源:本网

  原发性肝癌是我国常见的恶性肿瘤,其中70%~80%的肝癌患者在初诊时已为中晚期,失去了根治性治疗机会,5年生存率不足20%。近年来,随着新兴的局部微创治疗策略——钇90放射性栓塞术(钇90-SIRT)越来越多地应用于临床,其高选择性地经肿瘤供血动脉将具有肿瘤杀伤效应剂量的放射性钇90微球注射到肿瘤内,起到杀灭肿瘤细胞的作用,为不可手术的肝癌患者带来了曙光。

  由于钇-90-SIRT治疗的副作用小,有效率高,肿瘤降期率高,在早期肝癌、中期肝癌转化治疗上,以及晚期肝癌的姑息治疗上发挥巨大优势,已使越来越多的患者从这项治疗中收益。然而,众所周知,TACE治疗会栓塞肿瘤血管,如果TACE治疗失败或达不到理想效果,再做钇90-SIRT治疗会不会受影响呢?
  近日,我院肿瘤与血管介入微创治疗中心郝明志主任医师为一位初始无法手术,且经过常规介入综合治疗不满意的患者行钇90治疗,术后患者达到临床治愈。
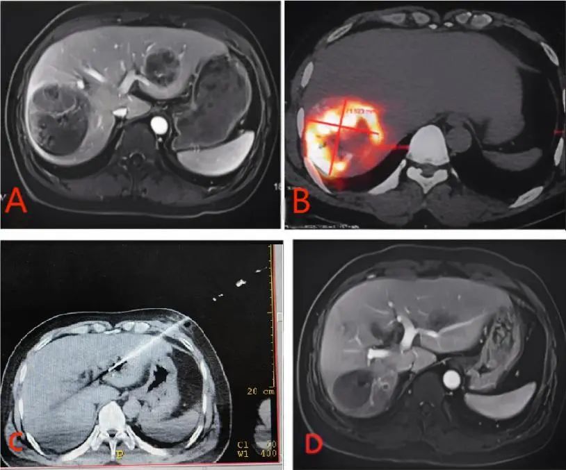
  该患者是一名52岁男性,肝右叶巨大肝细胞癌, 左肝同时有一个3cm左右的肝癌,经过多次常规介入治疗联合靶向免疫药物治疗后半年,复查显示肿瘤虽有一定程度缩小,但MRI增强显示肝内仍有大量存活的肿瘤组织(图A)。为获得更好的疗效,经过刘景丰教授领衔的肝胆胰多学科MDT讨论,制定了在全身药物抗肿瘤治疗基础上后续给予右肝病灶钇90-SIRT治疗+左肝病灶射频消融治疗的方案。钇90-SIRT治疗后PET-CT验证存活肿瘤组织内钇90分布良好(图B)。钇90-SIRT治疗一个月后,郝明志主任医师及时地给患者实施了左肝肿瘤的射频消融治疗(图C)。钇90-SIRT治疗六个月后,复查的MRI显示肿瘤完全灭活(图D)。
  郝明志主任医师介绍,虽然未接受过局部介入治疗的肝癌患者钇90-SIRT疗效更好,但钇90-SIRT与常规TACE不同,它的疗效发挥对肿瘤血供依赖程度小,而且疗效的发挥不是靠栓塞肿瘤血管和局部化疗,是靠选择性内放射治疗,因此对常规介入治疗失败的患者,钇90-SIRT仍然可能有效。最近,法国学者于2023年12月发表一项研究显示对于接受TACE治疗失败或未获完全应答的患者,后续接受钇90-SIRT治疗,有效率仍可达73.8%。钇90-SIRT与局部消融,免疫治疗等联合应用进一步提高了钇90-SIRT的治疗效果,扩大了适应人群,将会使越来越多的患者获益。尤其是其突出的安全性,在同类血管介入治疗与外放疗治疗手段中一枝独秀,为无法耐受常规治疗的患者提供了更多的治疗选择。
  方主亭教授表示,最近研究显示,钇90-SIRT在全球范围内应用的医院越来越多,接受治疗的患者也越来越多。这一结果显示钇90-SIRT被医生和患者接受与认可的程度越来越高。国内越来越多的医院开始开展钇90-SIRT治疗。中国肝癌诊疗指南2024版也正式把钇90-SIRT写入中国肝癌诊疗指南。要发挥我院在省内钇90-SIRT治疗方面的领先优势,开展相关临床与基础研究。为肝癌患者的康复做出更大贡献。在开展这项技术时,不但要求医生具有精湛的技术,还要有丰富的临床经验。更要有一颗仁爱之心。将恰当的方法用在恰当的人身上。
  刘景丰教授表示,肝癌的治疗已经从单一治疗手段时代进入到综合治疗时代。除了手术切除,血管介入治疗、放疗、消融等局部治疗手段与全身药物治疗的有机结合,能够为初始不可手术的患者创造手术切除或根治性治疗的机会。治病救人,最根本的是解决患者痛苦,延长生命,着眼于“人”。因此,多学科协作,采用综合治疗手段是提高肝癌疗效的重要手段。钇90-SIRT新技术的应用,是血管介入与放射治疗的有机结合,技术本身就体现了一种先进理念。在中国国情下,不能单纯模仿国外技术,要走出一条符合中国肝癌患者病情的新路子,在探索钇90-SIRT个体化治疗策略时,要发挥综合治疗优势,最终造福患者。
  
科室介绍
  复旦大学附属肿瘤医院福建医院作为国家肿瘤区域医疗中心建设项目,由复旦大学附属肿瘤医院和福建省肿瘤医院融合发展形成,构建理念融合、学科融合、技术融合、队伍融合、管理融合、服务融合和文化融合的新体系。复旦大学附属肿瘤医院在肝胆胰肿瘤防治与研究方面处于第一梯队,在国内外形成鲜明特色,将先进的技术体系、服务体系和管理模式进行平移,整合多学科多专业形成新的福建医院肝胆胰肿瘤诊治中心。发挥肿瘤诊治精准化、医疗服务全程化、科技创新集成化的优势,让更多“不可治”病人变成“可治”,提升长期生存和改善生存质量,解决高发区疑难复杂肝胆胰肿瘤和转移性肝癌防治的瓶颈问题,减轻病人异地就医的困扰。福建医院肝胆胰肿瘤诊治中心开放床位200张,是由肝胆胰外科、介入治疗、肝胆胰肿瘤内科、腹部放疗、中西医结合等专业技术团队组成的一体化运行的临床专科,结合影像、超声、病理、内镜等专业,形成紧密型的学科群,建立完善的综合诊疗技术体系并不断迭代更新,保持前沿技术福建转化的可持续发展能力,满足不同病人的个体化诊疗需求。
  福建医院肝胆胰肿瘤诊治中心依托国家临床重点专科、复旦大学胰腺肿瘤研究所、上海市胰腺肿瘤重点实验室、福建省肝胆胰临床医学研究中心、福建省肿瘤早筛早诊前沿技术重点实验室、东南肝胆健康大数据研究所等平台,开展以生物学特征为主导的新型个体化综合治疗的临床研究和转化研究,在国内外形成特色。肿瘤与血管介入微创治疗中心是肝胆胰肿瘤诊治中心重要组成部分,是国家肿瘤区域医疗中心建设优先发展科室。是福建省内具有完善的肿瘤介入治疗体系的少数医院之一,临床,教学,科研同步发展,具有丰富的血管介入治疗手段的同时还有丰富的非血管介入治疗技术,常规开展肝动脉化疗栓塞术(TACE)、肝动脉持续灌注化疗术(HAIC)、肝动脉栓塞术(TAE)、肝动脉放射性栓塞术(钇90微球放射性介入治疗)、经皮门静脉栓塞术(PVE)、经皮食管胃底曲张静脉栓塞术(PTVE)、经皮脾静脉栓塞术(PSE)、经颈静脉门体静脉分流术(TIPS)、门静脉支架+125I粒子条植入术、胆道支架+125I粒子条植入术、射频消融术(RFA)、微波消融术(MWA)、经皮碘125放射性粒子植入术、经皮肝穿刺胆道引流管置入术(PTCD)、腔静脉支架植入术、髂静脉支架植入术,腹腔神经阻滞术、静脉输液港植入术等。对头颈部肿瘤、胸部肿瘤、肝胆胰脾肿瘤、消化道肿瘤、妇科肿瘤、软组织肉瘤及肿瘤相关血管疾病的介入治疗有丰富经验。
附件下载:
相关文档